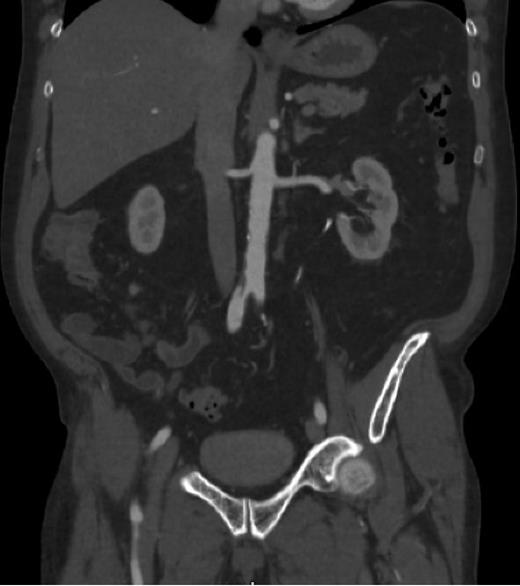
Spontaneous iliac artery dissection (IAD) is a rare medical condition with only a few cases being reported in the medical literature. Dissections typically involve the aorta and are not localized to the iliac arteries. Patients with spontaneous IAD typically present with symptoms that resemble peripheral artery disease, and cases are typically associated with connective tissue diseases such as Marfan syndrome and Ehlers-Danlos syndrome or high-risk states such as pregnancy and extreme athletics. There are some case reports that showed an association with hyperlipidemia, hypertension, and tobacco use. The most frequent complication of spontaneous IAD is rupture, and cases are typically treated endovascularly but may be treated with classical surgery such as in the case of rupture. Some cases have reportedly been treated with conservative management alone. In this case, we discuss a 66-year-old male with a past medical history of hyperlipidemia, hypertension, and tobacco use with no known diagnosis of connective tissue disease, and not in a high-risk state, who was found to have a spontaneous iliac artery dissection. He initially presented with sudden onset back pain that he described as a shooting pain that radiated into his head. He was also having right lower extremity discomfort. Initial vital signs were significant for tachycardia and hypertension, and physical exam was significant for tachycardia and diminished right posterior tibial and dorsalis pedis pulses. Laboratory workup was significant for a leukocytosis of 10.06 and creatinine of 1.52, consistent with acute kidney injury. Labs were otherwise unremarkable. Computed tomography angiogram (CTA) of the head and neck was negative for acute pathology, but CTA chest/abdomen/pelvis demonstrated arterial dissection that began at the origin of the right common iliac artery extending down to the right common femoral artery and also demonstrated a left renal infarct. A bare metal stent was placed by Interventional Radiology and the patient was started on dual antiplatelet therapy (DAPT) with a heparin drip and clopidogrel. Connective tissue disease workup was later performed including antinuclear antibody, rheumatoid factor, cyclic citrullinated peptide, and extractable nuclear antigen antibodies panel, which were all negative. Hospital stay was complicated by development of subarachnoid hemorrhage, intraventricular hemorrhage, subdural hematoma, and intradural hematoma that required laminoplasty and evacuation by Neurosurgery. DAPT was discontinued and the patient was later restarted on aspirin only. The patient then developed a cecal bleed that required clipping by Gastroenterology. Aspirin was discontinued and he then developed bilateral lower extremity deep venous thromboses and pulmonary emboli. He was started on enoxaparin with the assistance of Hematology and was later transitioned to apixaban with no complications. This case supports comorbidities as risk factors for spontaneous IAD and raises the need for formal screening and surveillance guidelines for these patients, as there are currently no guidelines in place. This case also demonstrates the complications that can occur with DAPT and anticoagulants and provides a manner in which to cautiously initiate anticoagulation in patients with high risk of bleeding while also preventing the development of further thrombi.
Disclosures
No relevant conflicts of interest to declare.
